Русский
Грузия будет требовать медицинскую страховку для въезда в страну с 1 января Дело об избиении несовершеннолетнего в селе Зоракан передано в суд Над базой атомных подлодок во Франции зафиксировали неопознанные дроны Президент Индии угостила Путина вегетарианским ужином Мы тут не причем: «Гражданский договор» прокомментировал уголовное преследование Аршака Хачатряна Предстоятель епархии: Воскресную литургию в церкви «Сурб Йот Верк» в Гюмри совершат не служители епархии Азербайджанцы повредили монастырь «Сурб Аменапркич» XVII века в Арцахе Трамп выразил надежду, что сможет положить конец украинскому конфликту Юнибанк первым в Армении выпустил бессрочные облигации Пашинян: Вопрос Нагорного Карабаха был решен в 1996 г, просто никто нам об этом не говорил Bloomberg: ЕС поставляет в Нигерию запрещенные пестициды, вызывающие рак Пашинян: В документах по Карабаху есть детали, которые способны вызывать международные проблемы 

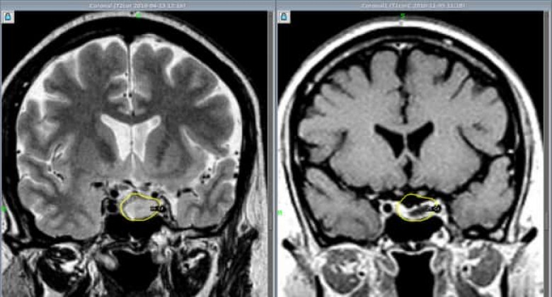
В МЦ «Астхик» сотрудничестве с благотворительным фондом «Вива» внедряют новый метод удаления аденом гипофиза

Общество

Аденома гипофиза – это доброкачественное новообразование, которое может крайне негативно сказываться на качестве жизни, вызывая нарушения со стороны эндокринной системы, а также нарушения зрения.

До недавних пор такие новообразования в МЦ «Астхик» удаляли с применением хирургического микроскопа. Теперь в медцентре внедряют и другой метод удаления аденом гипофиза – с помощью эндоскопа. Этот метод до недавних пор в Армении не применялся, и обучать ему специалистов в рамках одного из проектов благотворительного фонда «Вива» будет известный нейрохирург Вилен Азизян (Россия). В медицинском центре «Астхик» он уже провел три операции по удалению аденом гипофиза. Ассистировали ему армянские специалисты, которые в дальнейшем научатся проводить такие операции самостоятельно.

Аветис Киракосян, руководитель отделения нейрохирургии МЦ «Астхик», рассказал журналистам о том, что для внедрения эндоскопического метода удаления опухолей гипофиза был выбран медцентр «Астхик», так как материально-техническая база центра соответствует всем требованиям к проведению этих операций. Специалист уверен, что если в центре будут применяться оба метода, это поможет достигать более значительных результатов.

«В зарубежных медицинских центрах, где я проходил переподготовку, совмещают микроскопический и эндоскопический методы. После работы микроскопом проводят ревизию операционной области с помощью эндоскопа – без лишних разрезов через нос пациента вводят эндоскоп с камерой, осматривают область, иногда можно бывает обнаружить небольшие куски, которые остались вне поля зрения микроскопа, а эндоскоп может обеспечить более широкое поле зрения», - объяснил специалист.

По его словам, эндоскопическое удаление аденом гипофиза считается менее травматичным и менее инвазивным, чем микроскопическое удаление. Так или иначе, некоторым пациентам может потребоваться один из методов, некоторым – сразу оба, поэтому будет большим плюсом, если хирург будет одинаково хорошо владеть обоими методами.

Это далеко не первый проект, проводимый в Армении благотворительным фондом «Вива» (Врачи и волонтеры Армении). Татьяна Оганесян, председатель фонда, рассказала журналистам, что фонд был основан в 2016 году, с целью оказать помощь Арцаху и регионам Армении.

За пять лет фонд оснащал медицинским оборудованием госпитали и больницы страны, организовал образовательные программы и стажировки докторов. Многие врачи – члены фонда – регулярно приезжают в Армению, помогая и обучая коллег, проводя операции, помогая организовать реабилитацию раненых во время войны в Арцахе.

Как в свою очередь отметил попечитель фонда «Вива Георгий» Мелконян, главный врач 4 городской больницы Москвы, фонд проводит большую работу по обучению специалистов, чтобы врачи в Армении, овладевая новыми техниками и методами лечения, могли самостоятельно применять их в работе с пациентами и оказывать высококачественную помощь, не нуждаясь в помощи зарубежных коллег.

В дни войны в Арцахе 26 врачей фонда работали в разных полевых госпиталях – в Гадруте, Степанакерте, Мартуни, Мартакерте, Горисе, Мегри, Капане. В их числе были торакальные и сосудистые хирурги, реаниматологи, медсестры, и работали они на протяжении всей войны, сменяя друг друга.

Также во время войны фонд оказал материальную помощь в размере 2 млн долларов, 38 больниц получили медицинское оборудование.

В настоящее время фонд насчитается уже более 5000 членов, в числе которых более 700 врачей.

Грузия будет требовать медицинскую страховку для въезда в страну с 1 январяДело об избиении несовершеннолетнего в селе Зоракан передано в судНад базой атомных подлодок во Франции зафиксировали неопознанные дроныВ Академии наук Армении прошла выставка и презентация ведущих российских вузов Президент Индии угостила Путина вегетарианским ужиномБессрочные облигации Юнибанка выкуплены почти за суткиПрезидиум Форума армянских союзов Европы организовал создание инициативной группы по защите Армянской Апостольской Церкви и христианства в Армении Мы тут не причем: «Гражданский договор» прокомментировал уголовное преследование Аршака ХачатрянаПредстоятель епархии: Воскресную литургию в церкви «Сурб Йот Верк» в Гюмри совершат не служители епархииВ Москве прошел интеллектуальный конкурс для студентов Института востоковедения Азербайджанцы повредили монастырь «Сурб Аменапркич» XVII века в АрцахеТрамп выразил надежду, что сможет положить конец украинскому конфликтуДобыча полезных ископаемых — занятие не для глупых. «Паст».Team Holding объявляет о начале размещения облигаций. Андеррайтером выступает Freedom Broker ArmeniaПочему бывший министр обороны «заговорил сейчас»? «Паст».«Почему стрелы были направлены именно в адрес “того, кто разнимает драку”. «Паст»«Это издевательство над государственностью». «Паст»Юнибанк первым в Армении выпустил бессрочные облигации Спорное положение закона – политическая дубинка. «Паст»Пашинян против Церкви: вместо борьбы с кризисом — борьба с Католикосом: «Паст»Пашинян: Вопрос Нагорного Карабаха был решен в 1996 г, просто никто нам об этом не говорилBloomberg: ЕС поставляет в Нигерию запрещенные пестициды, вызывающие ракПашинян: В документах по Карабаху есть детали, которые способны вызывать международные проблемыСША приостановили прием иммиграционных заявлений из 19 стран после стрельбы у Белого домаРютте: Австралия и Новая Зеландия подключились к закупкам оружия для УкраиныПроект «Россия с вами»: специальная партия гуманитарной помощи для переселенцев из Нагорного Карабаха доставлена в Эчмиадзин Team Holding объявляет о начале размещения облигаций. Андеррайтером выступает Freedom Broker Armenia Минфин Армении: Расходы на нужды ряда министерств было решено увеличитьТатоян: Пять уроков, которые следует извлечь из публикации документов, связанных с Арцахским конфликтомБезопасная авантюра без «парашюта». «Паст»Оформите зарплатную карту в Юнибанке — получите шанс выиграть 1 000 000 драмовEuromoney признал Америабанк лучшим банком Армении в сфере недвижимости второй год подряд Отныне не «спонтанно», а организованно. «Паст».Откуда они взяли «голубиную» технологию? «Паст».Министр обороны РА принял участие в открытии выставки «EDEX 2025» в ЕгиптеАджапахян и Галстанян выступили с заявлением: Предлагаем прекратить полномочия непокорных предстоятелейРейтинговое агентство S&P Global Ratings присвоило ЗАО «АйДи Банк» долгосрочный рейтинг «BB-» и краткосрочный рейтинг «B» со «стабильным» прогнозомЦена серебра обновила рекорд - $57,86 за унциюВ Ереване обрушилась часть здания бывшего фортепианного завода: есть пострадавшийЗаседание Антикоррупционного суда по делу о признанной антиконституционной статье продолжится 17 декабряЭдмон Марукян обратился к Католикосу всех армян: Прошу лишить сана Навасарда Кчояна«Альтернативные проекты»: Очень часто сложные вопросы имеют простые решенияАвтодороги на территории Армении в основном открыты для проезда транспортаWSJ: на переговорах во Флориде обсуждается «обмен территориями» и выборы в УкраинеSIPRI сообщил о рекордных доходах крупнейших производителей оружия в 2024 годуВековая дружба армянского и русского народов: круглый стол с участием экспертов Итальянский пианист Антонио ди Кристофано выступит с сольным концертом в Ереване и проведет мастер-классы для армянских пианистов Почему Арман Татоян не участвовал в слушаниях по делу политзаключённых? «Паст»Просто решили не возбуждать уголовное производство — и… всё. «Паст»Где искать следы отмывания денег? «Паст»